Which Option Best Describes Your Missing Piece?
Top-rated dental implant centre in Sydney
Our mission is to give people happiness & revive their confidence by recreating beautiful smiles.
We help you achieve your dream smile with quality Dental Implants Sydney
We know it’s difficult to when you have missing teeth. It can make eating, talking, and even smiling feel hard. That’s why we offer teeth implants to help you get a full and healthy smile again. This will not only make your life easier but also helps you feel happy and confident inside.
Q1: Do you feel embarrassed by your missing teeth?
Q2: Do you miss eating your favourite food?
Q3: Do you want a complete & confident smile?
If Any of These Scenarios Apply to You, There's No Need to Worry, your Stunning Smile Awaits with the Help of Dental Implants in Sydney!
@ Sydney Dental Implant Centre
Incision-Free
Process
Painless & Speedy Recovery
Minimal Incision & Stitches
Instant Confidence Boost
Advanced digital-guided
Dental implant treatment in Sydney
Easy & Interest-free payment plans are available
Dental implants can provide a long-term solution with cosmetic results unmatched by most alternative treatments. For patients with damaged, failed, or missing teeth. Dental implants also help protect the bone that supports the tooth, which naturally deteriorates when a tooth is lost. So if you’re located in Sydney, Pyrmont, Potts Point, Darlinghurst, Kirribilli, Surry Hills, Paddington, Balmain, Rozelle, Redfern, Double Bay, Newtown, Lilyfield, North Sydney, and surrounding areas. then Sydney Dental Implant Centre can be the best place to go for your dental implants treatment.
What are dental implants?
Dental implants are special, artificial teeth that replace damaged or missing teeth. Our implants are made to look just like real teeth. The dental implant treatment involves three main steps, which help restore your smile naturally and securely.
At Sydney Dental Implant Centre, we use Digital Implant Surgery, which is a faster, more accurate, and less painful way than traditional dental implants.
Why Digital Implant Surgery?
Perfect for
all age groups
Less risk of
nerve damage
Faster
treatment
Less Pain
& Speedy Recovery
Why Dental Implants are superior to dental bridges?
The primary benefit of a dental implant is that it can replace an individual tooth without impacting the adjacent teeth. We focus only on the teeth which are missing, and all other unaffected teeth are not to be tempered with, so you can keep those natural beautiful teeth with an implant that looks exactly like your original teeth.
This is not the case with bridges. Your dentist will have to cut at least three of your natural teeth,to install a bridge.
This is not a viable treatment, in the long run, if you face any issue with even a single tooth all three treated teeth will be affected.
Moreover, dental implants last for a lifetime, while dental bridges are unreliable. Dental implants are much more natural-looking and structurally much stronger as they are attached to your jawbone, unlike bridges which are just sitting there with the help of other teeth and can loosen and become soft over time.
Similarly, dental implants are much more reliable and lead to fewer visits to dentists. When compared to any alternative treatments such as traditional crowns or dentures treatments, dental implants are always superior.
Our Dental Implant Procedure
at Sydney Dental Implant Centre
Thinking about dental implants in Sydney? Here we have a step-by-step guide to how we do it at Sydney Dental Implant Centre.
Consultation & Planning
First, we assess if dental implants are right for you. How do we do that?
- A detailed checkup of your mouth and bone health.
- X-rays and sometimes even 3D imaging.
This helps us create a personalized treatment plan that meets your needs.
Preparing
Your Mouth
Before the implant, your mouth needs to be ready.
- Teeth cleaning clears out plaque.
- Damaged or decayed teeth? We’ll remove those too.
- Not enough jawbone? Bone grafting strengthens it.
These steps set the stage for a strong, healthy foundation.
Implant
Placement
- We use a titanium implant that acts like a tooth root.
- It’s a quick procedure done under local anesthesia.
Here’s the important part: healing. The implant fuses with your jawbone in a process called osseointegration.
- It takes 3-6 months.
- Good oral hygiene during this time is critical.
We’ll keep an eye on your progress with regular checkups.
Once healed, we add the finishing touches:
- A small piece called an abutment connects the implant to your new tooth.
- A custom-made crown goes on top—designed to look just like your real teeth.
As a result you will get a strong, natural-looking tooth that blends perfectly with your smile.
At Sydney Dental Implant Centre, we use high-quality materials to ensure your dental implants look great and last long. Want to learn more about getting dental implants in Sydney? Reach out to us today!
Can everyone have Dental Implants?
Dental Implants are suitable for almost everyone, irrespective of their age. The only requirement is a healthy jaw bone.
If someone does not have an adequate jawbone, we initiate the process of bone grafting or gum grafting. Once it’s done, we can fix an implant.
Teeth implants work wonders. They give you back your smile. Eating, talking, and laughing? Easy again. They’re made to last. It’s like getting your real teeth back, but even better.
What Makes Sydney Dental Implant Centre the Best Choice for Dental Implants in Sydney?
- Experienced Implant specialists
- 5-star ratings from patients
- Unmatched results
- Flexible Payment Plans
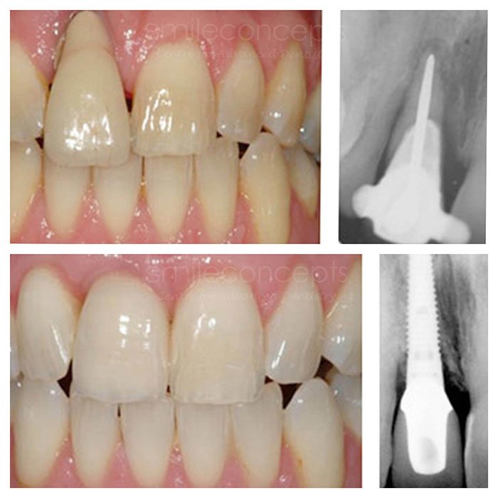
SMILE TRANSFORMATION
"YOU MAKE
MY SMILE COMPLETE."







Our Promise
Sydney CBD
Free Parking
NSW 2000
"The care we offer to our clients is truly one-of-a-kind. Our team shares the philosophy in creating facial harmony through the perfect smile."
Meet Our Expert Implant Dentists
At Sydney Dental Implant Centre, your smile is in expert hands. Our team combines years of experience with advanced training in dental implants. Our mission? To restore confidence and functionality to your smile. With a focus on precision and personalized care, we’re here to guide you every step of the way.
Dr. Manish Shah
BDS, MBBS, MMED (Sleep Medicine)
Dr. Manish Shah brings over 25 years of expertise in general, cosmetic, and implant dentistry. A dual-qualified dentist and medical doctor, he earned his BDS with honors in 1998 and MBBS in 2005—both from the University of Sydney. He also holds a Master’s in Sleep Medicine.
His specialties? Craniofacial pain, sleep disorders, and dental implants. By combining dental and medical knowledge, Dr. Manish Shah ensures comprehensive care.
At Sydney Dental Implant Centre, his focus is simple: delivering tailored solutions for healthier smiles and better sleep.
Dr. Kinnar Shah
Dr. Kinnar Shah
BDS (University of Glasgow),
Certified High-Performance Coach, NLP Master Coach
Dr. Kinnar Shah is a highly regarded expert in advanced cosmetic dentistry. With over 20 years of experience, he specializes in complex dental reconstructions and creating stunning, confident smiles. A graduate of the University of Glasgow (2000), Dr. Kinnar Shah brings artistry and precision to every procedure.
His passion? Transforming lives through dentistry. Dr. Kinnar Shah is also a certified high-performance and Gallup strengths coach, adding a unique perspective to patient care.
At Sydney Dental Implant Centre, he’s committed to perfecting the art of dentistry, one smile at a time.








