Complete your smile.
MULTIPLE TEETH MISSING
EXPERIENCE EXELLENCE
Advanced
Technology
15Min
Procedure
No
Incision
Fast
Recovery
Interest-free
Payment Plans
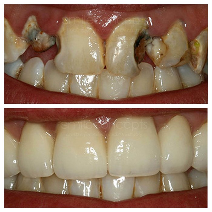
SMILE TRANSFORMATION
"YOU MAKE
MY SMILE COMPLETE."









Embrace Full Confidence.
THIS IS HOW
IT WORKS.
IMPRESSION
- We will initiate with making of your temporary teeth if the teeth are missing in the front, if not then you generally do not need temporary teeth.
- Implants are placed based on the number of teeth missing.
- Titanium teeth implants are placed inside you jaw under local anaesthetic.
PLACEMENT
- The dental implants are buried inside the jaw for three months (requiring a second surgery to expose the implant).
- You have to then wait three months for the bone to grow around the dental implants and grab hold of them (osseointegration).
- You have an option to be put to sleep with IV sedation (sleep dentistry).
BONE GROWTH
- The next step is to expose the teeth implants and place connectors that allows the gums to heal around it.
- The final two stages are taking impressions of the connectors and placing crown or bridges on the dental teeth implants.
Questions & Answers.
How many teeth implants will I need?
The number of teeth implants depends on the number of teeth missing. Here are some examples. If you have 3 teeth missing, the options for the number of teeth implants are
- 3 teeth implants and 3 teeth
- 2 teeth implants and 3 teeth
If you have 4 teeth missing, the options for the number of dental implants are
- 4 dental implants and 4 teeth
- 3 dental implants and a bridge
- 2 dental implants and a bridge.
Will I need bone grafting?
Bone grafting is only done when you have significant bone missing that will affect the placement of dental teeth implants or if your look (you smile) is compromised.
This will be assessed with special scans and photographs.
If my teeth are removed will I be left with gaps?
No, you will never be left with gaps especially for front teeth. We will organise a temporary teeth to be given to you.
How long does a tooth implant last?
If looked after well, the dental implant can last from 10 to 20 years on average.
Dental implants offer an effective and comfortable solution for those who have lost teeth to decay or injury. Dental implants feel and look like a normal tooth, it can do wonders.
EXQUISITELY
DESIGNED FOR YOU.
What is the cost of Dental implants?
The cost of dental implants treatment for you will vary based on the number of teeth implants we are placing.
Costs vary based on the whether or not you need bone augmentation and how many teeth you are missing.
A dental tooth implant procedure could costs from as little as $4500 – 6500.
Did you know that you can pay later?
We offer Afterpay® & Zip Pay so that you can smile now, pay later as you like! Complete your smile today for only $39AUD/ WEEK on approval.
Can I Pay with My Super Fund?
Yes! Did you know that it is possible to apply for the Early Release of your Superannuation to pay for dental implant surgeries? Enquire about paying for dental implant surgery with your super fund now!
Sydney CBD
Free Parking
NSW 2000
What are my treatment options?
When you have multiple teeth missing you can have any of the following options to replace the missing teeth. The choice is based on what we need to achieve and the affordability to you:
- Teeth implants
- Dental bridge
- Denture
- Do nothing
Dental implants are stronger and more dependable than conventional bridges cemented to natural teeth, or traditional partial or full removable dentures.
However, dental implants may be used to support a bridge or dentures when multiple teeth are missing to provide better support and stability, help maintain the jaw bone, and reduce gum tissue irritation.
Also, dental implant restorations are not susceptible to cavities.
"The care we offer to our clients is truly one-of-a-kind. Our team shares the philosophy in creating facial harmony through the perfect smile."